全身淋巴结分区及范围(头颈、胸部、腹部、盆腔)
头颈部淋巴结分区范围及勾画

颈部淋巴结影像学分区:咽后淋巴结区颈部I区淋巴结颈部II区淋巴结颈部III区淋巴结颈部IV区淋巴结颈部V区淋巴结颈部VI区淋巴结颈部VII区淋巴结
咽后淋巴结区
上界:颅底下界:舌骨上缘前界:腭帆提肌后界:椎前肌内界:体中线外侧界:颈血管鞘内缘
咽后区图中红色箭头处为咽后淋巴结

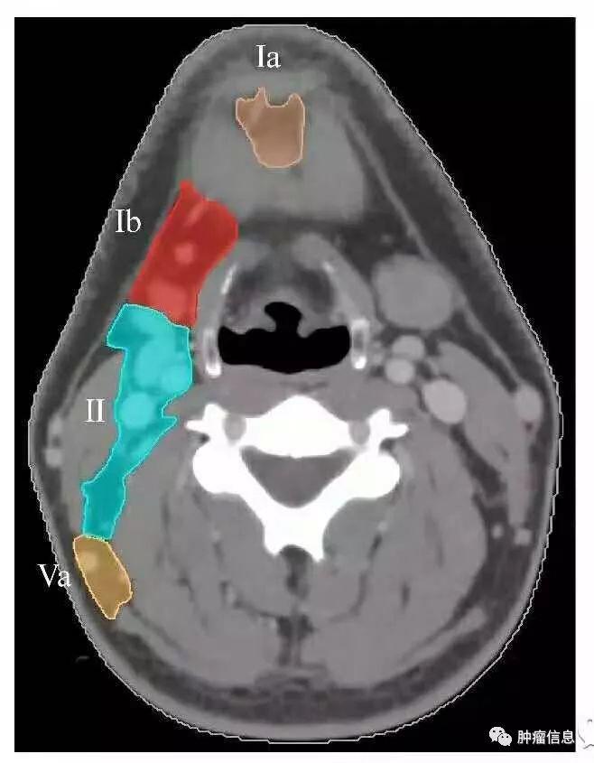
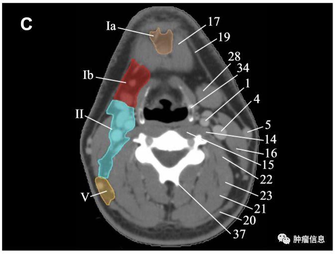
颈部I区淋巴结
上界:下颌舌骨肌下界:舌骨前界:下颌骨前缘后界:颌下腺后缘内侧界:二腹肌前腹外缘外侧界:下颌骨内侧缘IA:颏下淋巴结(前正中线至二腹肌前腹与舌骨下缘之间的区域)IB:颌下淋巴结(下颌骨上缘,二腹肌前腹与颌下腺后缘之间的区域)
颈部I区图中淡黄色为Ia图中红色为Ib

颈部II区淋巴结
上界:颅底下界:舌骨上缘前界:颌下腺后缘后界:胸锁乳突肌后缘内界:颈血管鞘内缘外侧界:胸锁乳突肌内缘IIA:颈动脉前区IIB:颈动脉后区
颈部II区图中绿色为II区

颈部III区淋巴结
上界:舌骨上缘下界:环状软骨下缘前界:胸骨舌骨肌侧后缘后界:胸锁乳突肌后缘内界:颈血管鞘内缘、头长肌外侧界:胸锁乳突肌内缘
颈部III区图中绿色为III区

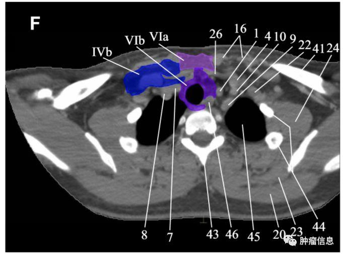
颈部IV区淋巴结
上界:环状软骨下缘下界:锁骨上缘前界:胸锁乳突肌外侧缘后界:椎旁肌前缘
颈部IV区图中淡紫色区域为IV区

颈部V区淋巴结
上界:颅底下界:锁骨上缘前界:胸锁乳突肌后缘后界:斜方肌前缘VA:环状软骨下缘以上区域VB:环状软骨下缘至锁骨上缘区域
颈部V区图中黄色为V区

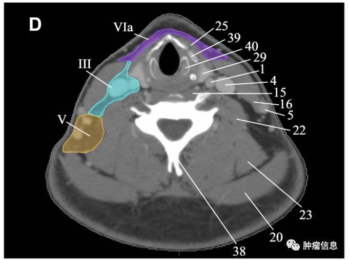
颈部VI区淋巴结
颈前淋巴结上界:舌骨下界:胸骨切迹后界:颈动脉鞘前方
颈部VI区图中紫色区域为VI区(VIa、VIb)

颈部VII区淋巴结
上纵隔淋巴结上界:胸骨上窝下界:主动脉弓上缘两侧界:颈总动脉
颈部VII区Ⅶ区淋巴结位于上纵隔(上纵膈淋巴结)。

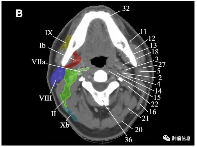
RTOG2013年头颈部淋巴结分区勾画图谱:


Ia:颏下淋巴组Ib:颌下淋巴组II:上颈淋巴组III :中颈淋巴组IVa:下颈淋巴组IVb:锁骨上内侧组V:颈后三角淋巴组Va:上颈后三角淋巴组Vb:下颈后三角淋巴组Vc:锁骨上外侧组VI:颈前淋巴组VIa:颈前淋巴结VIb:喉前、气管前、气管旁淋巴结VII:椎前淋巴组VIIa:咽后淋巴结VIIb:茎突后淋巴结VIII:腮腺淋巴组IX:面颊淋巴组X:颅底后组Xa:耳后、耳下淋巴结Xb:枕淋巴结见下图:






胸部淋巴结分区范围及勾画

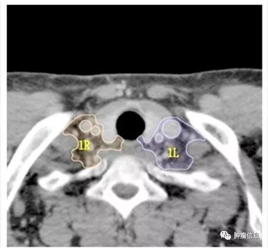
1、最高纵隔淋巴结。2、上气管旁淋巴结。3、血管前和气管后淋巴结。4、下气管旁淋巴结。5、主动脉下淋巴结。6、主动脉旁淋巴结。7、隆突下淋巴结。8、食管旁淋巴结。9、肺韧带淋巴结。10、肺门淋巴结。11、叶间淋巴结。12、叶支气管淋巴结。13、段支气管旁淋巴结。14、亚段支气管旁淋巴结。
第1组淋巴结
下颈、锁骨上、胸骨切迹淋巴结上界:环状软骨下缘下界:锁骨、胸骨柄上缘气管中线为1L和1R的分界线。

第2组淋巴结
2R:右侧上气管旁,自胸骨柄上界至无名静脉足侧与气管交汇处,自气管右侧至气管左侧缘。2L:左侧上气管旁,自胸骨柄上缘至主动脉弓上缘,气管左侧缘以左。气管左侧缘是2R和2L的分界线。

第3组淋巴结
第3组淋巴结分为3a和3p:3a:前部的血管前淋巴结上界:胸膜顶下界:隆突水平前界:胸骨后后界:上腔静脉前缘3p:后部的气管后淋巴结上界:胸膜顶下界:隆突水平

第4组淋巴结
4R:右侧下气管旁,自无名静脉与气管交界区至奇静脉,自气管右侧至气管左侧缘。上界:无名静脉与气管交叉处下缘下界:奇静脉下缘4L:左侧下气管旁,自主动脉弓上缘至左侧主肺动脉上缘,气管左侧缘以左。上界:主动脉弓上缘下界:左肺动脉干上缘气管左侧的矢状面是4L与4R分界线。

第5组淋巴结
主动脉下淋巴结:位于主肺动脉窗肺动脉韧带外侧。上界:主动脉弓下缘下界:左肺动脉干下缘

第6组淋巴结
主动脉旁淋巴结:位于升主动脉,主动脉弓的前面和两侧,迷走神经前面。上界:主动脉弓上缘切线下界:主动脉弓下缘

第7组淋巴结区
隆突下淋巴结:隆突下3cm内,与肺内下叶支气管、动脉无关。上界:气管隆突下界:左侧为下叶支气管上缘、右侧为中间支气管下缘

第8组淋巴结
食管旁淋巴结:自隆突下沿食管延伸至膈肌食管裂孔。上界:左侧为下叶支气管上缘、右侧为中间支气管下缘下界:膈肌

第9组淋巴结
肺韧带淋巴结:紧贴下肺静脉之下缘,下肺韧带之内的淋巴结。上界:下肺静脉下界:膈肌

第10组淋巴结
与主支气管和肺门血管相邻的淋巴结上界:右侧奇静脉下缘,在左侧是肺动静脉的上缘。下界:双侧叶间区域

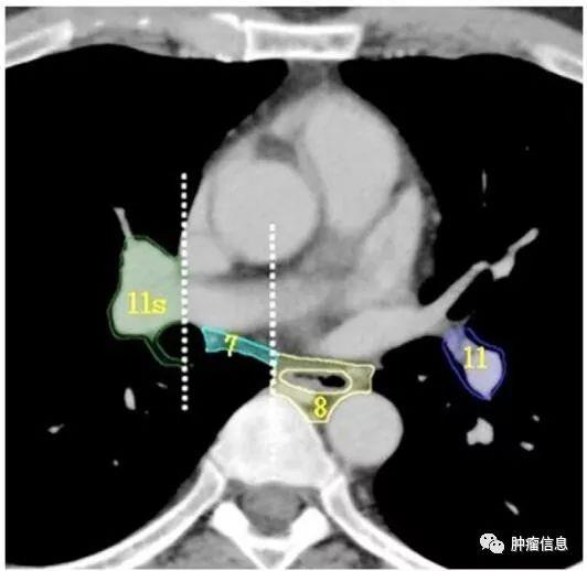
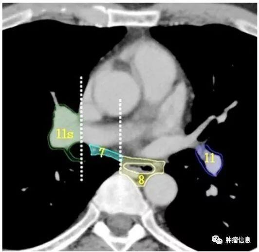
第11组淋巴结
第11组即肺叶间淋巴结,位于支气管分叉处。左侧第11组淋巴结位于第二隆突的下方。右侧的第11组淋巴结又区分为11s(右侧上叶支气管和中间支气管之间)和11i(右侧中叶支气管和下叶支气管之间)。

第12-14组淋巴结第12组淋巴结群:位于肺叶支气管周围的淋巴结。第13组淋巴结群:位于肺段支气管周围的淋巴结。第14组淋巴结群:位于亚段支气管起远端周围的淋巴结。
腋窝淋巴结
I组:腋下组:在胸小肌外侧,包括乳腺外侧组,中央组、肩胛下组、腋静脉组淋巴结,胸大、小肌间的淋巴结(Rotter淋巴结)II组:腋中组,胸小肌深面的腋静脉淋巴结III组:腋上组:胸小肌内侧锁骨下静脉淋巴结


上腹部淋巴结分区范围及勾画

腹部淋巴结按UICC胃癌淋巴结分组分为1-16区:
贲门右淋巴结贲门左淋巴结胃小弯淋巴结胃大弯淋巴结(4sa:胃短血管淋巴结;4sb:胃网膜左血管淋巴结;4d:胃网膜右血管淋巴结)幽门上淋巴结幽门下淋巴结胃左动脉淋巴结肝总动脉淋巴结(8a:肝总动脉前淋巴结;8p:肝总动脉后淋巴结)腹腔干淋巴结脾门淋巴结脾动脉淋巴(11p:脾动脉近端淋巴结;11d:脾动脉远端淋巴结)肝十二指肠韧带淋巴结(12a:肝十二指肠韧带内沿肝动脉淋巴结;12b:肝十二指肠韧带内沿胆管淋巴结;12p:肝十二指肠韧带内沿门静脉后淋巴结)胰头后淋巴结肠系膜淋巴结(14v:肠系膜上静脉淋巴结;14a:肠系膜上动脉淋巴结)结肠中血管淋巴结腹主动脉旁淋巴结(16a1:主动脉裂孔淋巴结;16a2:腹腔干上缘至左肾静脉下缘之间腹主动脉周围淋巴结;16b1:左肾静脉下缘至肠系膜下动脉上缘之间腹主动脉周围淋巴结;16b2:肠系膜下动脉上缘至腹主动脉分叉之间腹主动脉周围淋巴结)
No.1-6胃周淋巴结
包括胃贲门左,贲门右,胃体左、胃体右、胃幽门左、胃幽门右


No.7胃左动脉淋巴结
上界:胃贲门下缘下界:腹腔干上缘前界:胃小弯侧前缘后界:腹主动脉前缘右界:肝左侧缘左界:胃右侧缘


No.8肝总动脉淋巴结
从腹腔干分出肝总动脉起点到肝总动脉分出胃十二指肠动脉


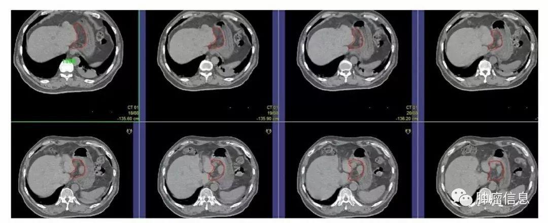
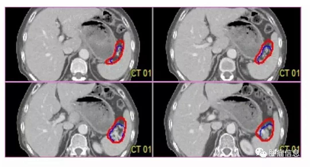
No.9腹腔干淋巴结
起于腹主动脉前缘,止于脾动脉起始部


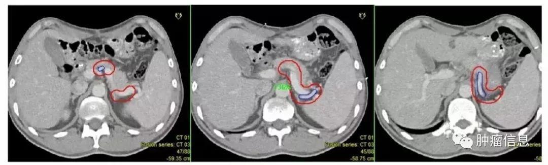
No.10脾门淋巴结
脾门区血管,勾画时外放0.5~1cm


No.11脾动脉淋巴结
以脾动脉起点到胰尾末梢中点为界分为近侧组(11p)和远侧组(11d)


No.12肝十二指肠韧带

12a从肝固有动脉末端(肝左、右动脉)到肝总动脉,外扩0.5~1cm


12p门静脉分出肝右静脉到胰腺右侧缘,外扩0.5~1cm


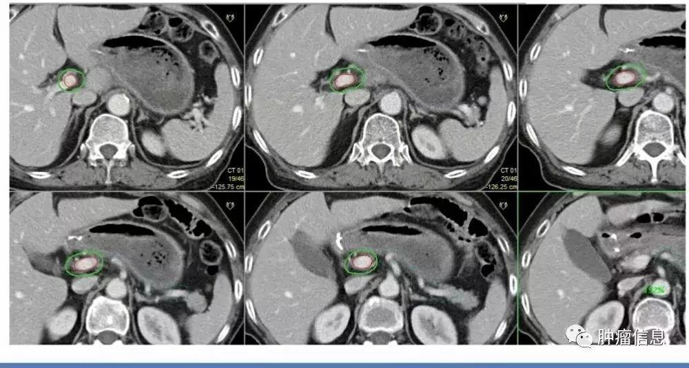
No.13胰后淋巴结
上界:胰头上缘下界:胰头下缘外界:胰头外侧缘内界:腹主动脉右缘前界:胰头后界:下腔静脉


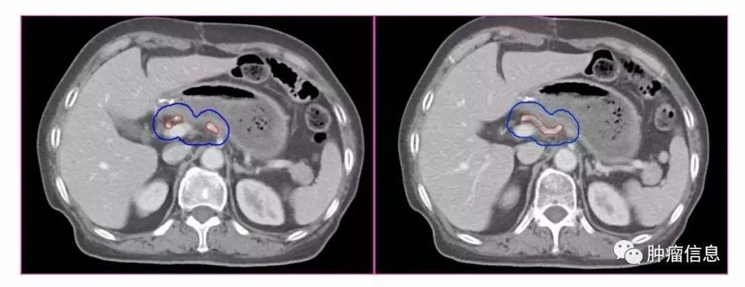
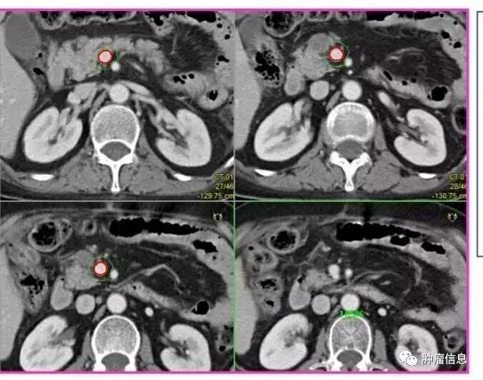
No.14肠系膜根部淋巴结
分为:肠系膜上动脉组(14a)和肠系膜上静脉组(14v)


No.15结肠中动脉旁淋巴结
沿结肠中动脉分布,结肠中动脉较小,CT上很难发现,勾画时可以从受累的横结肠延伸到肠系膜根部血管区域

No.16腹主动脉旁淋巴结
上界:腹腔干上缘下界:L3下缘(肠系膜下动脉上缘)


盆腔淋巴结分区范围及勾画

髂总淋巴结髂内淋巴结髂外淋巴结骶前淋巴结闭孔淋巴结
髂总淋巴结
从腹主动脉分叉到髂内动脉的分支之间的髂总血管周围淋巴结。上界:主动脉分叉或腰4-5间隙下界:髂总动脉分叉前界:动静脉前7mm后界:L5椎体和骶岬(包括腰大肌与椎体旁间隙)外侧界:动静脉旁7mm(腰大肌)勾画时应包括血管及周围7mm区域,(包括骨、肌肉、小肠),以及所有可疑淋巴结、淋巴囊肿、手术银夹。

髂内淋巴结
髂内动静脉周围淋巴结上界:髂总分叉下界:尾骨肌上缘或坐骨棘其他边界具体范围见下图所示:

髂外淋巴结
上界:髂总分叉下界:股骨头上缘其他边界见下图:

骶前淋巴结
图中蓝色区域上界:髂总分叉下界:S2下缘或梨状肌上缘其他边界见下图:

闭孔淋巴结
上界:骶髂关节的下界(连接髂内区)下界:闭孔上部分(股骨颈上缘)其他边界见下图:

腹股沟淋巴结
